• Пн-Пт: 9.00-19.00
    Сб-Вс: 9.00-18.00
  • г. Днепр, пр. Д. Яворницкого, 78

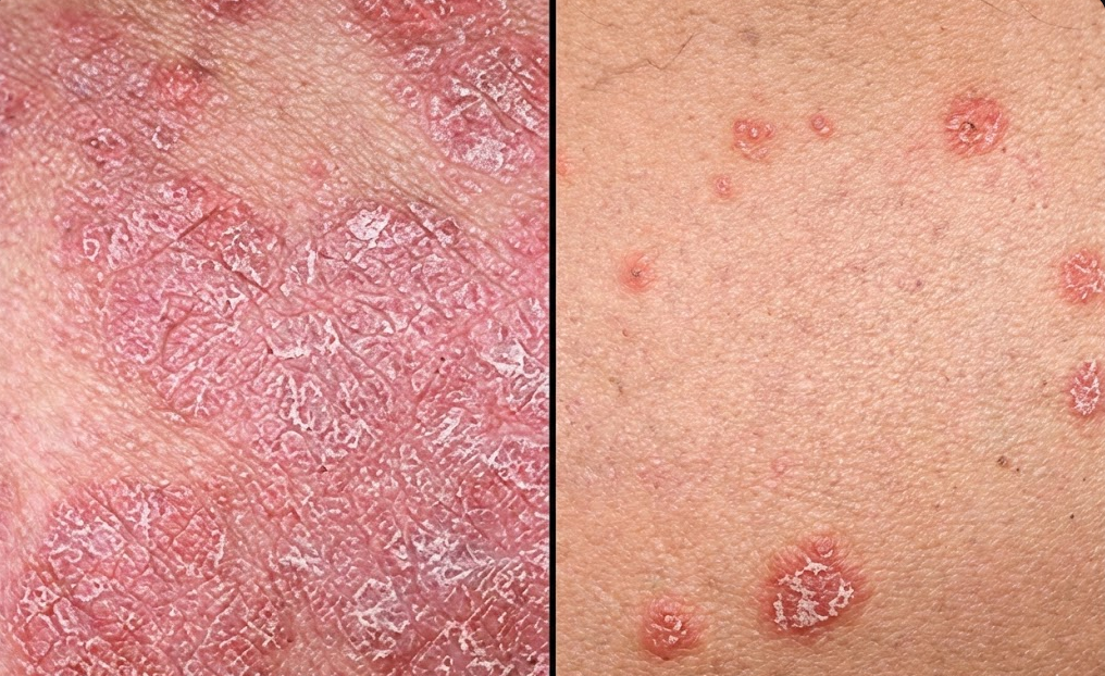
Лечение псориаза

В нашей клинике «Дерматология» в Днепре мы помогаем пациентам вылечить псориаз — хроническое заболевание кожи.


Дерматологи подбирают лечение с учетом формы псориаза и состояния кожи, чтобы снять воспаление, зуд и вернуть комфорт жизни.

МЦ "Дерматология" в Днепре предлагает экспертное лечение псориаза, направленное на достижение стойкой и длительной ремиссии, а не простое снятие симптомов. Мы используем точную диагностику и современные протоколы под контролем опытных врачей-дерматологов. Начните с комплексной первичной консультации, чтобы получить точный диагноз и индивидуальный план лечения.

Лечение псориаза в Днепре: достижение стойкой ремиссии в МЦ "Дерматология"

Псориаз — это хроническое аутоиммунное заболевание, а не просто кожный дефект. Его нельзя "вылечить" раз и навсегда, но можно и нужно "контролировать", вводя в состояние стойкой и длительной ремиссии. Наш подход в МЦ "Дерматология" направлен именно на безопасное управление состоянием, а не на агрессивное подавление симптомов.

Это системный сбой, при котором клетки иммунной системы ошибочно атакуют здоровые клетки кожи, провоцируя их ускоренное деление и вызывая воспаление. Результатом этого процесса становятся характерные бляшки, зуд и шелушение. Заболевание протекает циклично, со сменой периодов обострения и ремиссии. Ключевая задача современной дерматологии — сделать ремиссию максимальной долгой и безопасной для пациента. Попытки "заглушить" симптомы без системного подхода лишь усугубляют течение болезни в долгосрочной перспективе.

 Первый шаг к чистой коже: точная диагностика псориаза в Днепре

Эффективное лечение начинается с точной диагностики, которая определяет форму, стадию и тяжесть заболевания. Мы используем цифровую дерматоскопию для детального изучения бляшек и объективной оценки площади и интенсивности поражения.

Цифровая дерматоскопия с многократным увеличением позволяет врачу увидеть специфические псориатические маркеры (например, точечные сосуды) и, что крайне важно, дифференцировать псориаз от других кожных заболеваний, таких как экзема, себорейный дерматит или грибковые инфекции, которые могут выглядеть похоже, но требуют кардинально иного лечения. 

Совет эксперта от Загурского Юрия Борисовича, врача дерматолога:

 "Пациенты часто приходят с готовым "диагнозом" от знакомых или из интернета. Но то, что выглядит как псориаз, может им не являться. Я настоятельно рекомендую не пропускать этап профессиональной дерматоскопии. Цена ошибки в диагнозе — это месяцы, а то и годы неэффективного и порой вредного лечения, которое бьет и по здоровью, и по кошельку".

 Современные протоколы лечения: наш арсенал для вашей ремиссии

Мы не используем один метод для всех. Наш арсенал включает наиболее эффективные и безопасные методики доказательной медицины, которые комбинируются в персональный план.  

 Медикаментозная поддержка: от топической до системной терапии

Мы используем современные протоколы, делая акцент на безопасности. В зависимости от стадии и локализации, это могут быть негормональные препараты, такие как аналоги витамина D (регулируют деление клеток) или ингибиторы кальциневрина (снимают воспаление на деликатных участках, например, на лице). Использование топических кортикостероидов (гормональных мазей) возможно, но оно всегда строго контролируется врачом, проводится короткими курсами и по четким показаниям, чтобы избежать компромиссов в виде побочных эффектов. При тяжелых, устойчивых к лечению формах псориаза или при развитии псориатического артрита, мы применяем системную терапию, подключая препараты, которые контролируют воспаление на уровне всего организма.

 Распространенные ошибки в лечении псориаза и их реальная цена

Попытки самолечения или использование непроверенных методов часто приводят к усугублению болезни и развитию осложнений. Две самые опасные ошибки — это бесконтрольное применение гормональных мазей и игнорирование медицинской природы заболевания.

 Ошибка 1: Бесконтрольное использование "сильных" гормональных мазей

Многие пациенты, в поиске быстрого облегчения, начинают самостоятельно использовать самые мощные гормональные мази, которые им посоветовали в аптеке или знакомые. Почему так делают? Эффект наступает почти мгновенно — зуд стихает, бляшки бледнеют. Это кажется простым и быстрым решением.

"Цена ошибки" в этом случае крайне высока. Выбирая мгновенное облегчение, пациент жертвует здоровьем кожи в будущем. Развивается тахифилаксия (привыкание), и мазь перестает работать. Но самое страшное — это атрофия (истончение) кожи и "синдром отмены": после прекращения использования псориаз возвращается с новой, удвоенной силой, часто на большей площади. Лечение такой "рикошетной" формы и восстановление атрофированной кожи занимает месяцы и обходится несравнимо дороже первичного курса.

 Ошибка 2: Лечение "народными средствами" и игнорирование диагноза

Вторая крайность — полное недоверие к медицине и попытки лечиться "чистками организма", сомнительными травами или диетами, найденными на форумах. Почему так делают? Это продиктовано страхом "химии" и "гормонов", а также мифом о том, что псориаз — это "просто шлаки".

"Цена ошибки" здесь — упущенное время. Пока пациент пьет отвары, аутоиммунное воспаление продолжает развиваться. Это грозит не только распространением бляшек по телу. Главная опасность — развитие псориатического артрита, тяжелого осложнения, которое поражает суставы. Этот процесс часто необратим и без адекватной терапии быстро приводит к болям, деформации суставов и инвалидности. Лечение артрита — это уже задача не только дерматолога, но и ревматолога, требующая серьезной системной терапии.

Совет эксперта от Загурского Юрия Борисовича, врача дерматолога: "Псориатический артрит развивается у 30% пациентов с псориазом, и часто он начинается незаметно. Если вы "лечите" бляшки примочками, вы игнорируете системное воспаление, которое в этот момент может "поедать" ваши суставы. Не рискуйте своей подвижностью — обратитесь к врачу вовремя".

 Ваш маршрут к ремиссии в МЦ "Дерматология"

Ваше лечение ведет опытный врач-дерматолог Загурский Юрий борисович. Процесс начинается с первичной консультации и диагностики, на которой определяется ваш индивидуальный план лечения. Наша цель — не просто снять симптомы, а дать вам инструменты для долгосрочного контроля над псориазом.

 Этапы вашего лечения: от консультации до контроля

Мы разработали четкий и прозрачный маршрут пациента, который доказал свою эффективность. Процесс начинается с первого этапа — консультации и диагностики, включающей сбор анамнеза, осмотр и цифровую дерматоскопию. На втором этапе, основе диагноза, врач формирует ваш персональный протокол, комбинируя методы, например. Третий этап — это активная фаза терапии, когда вы проходите курс лечения под регулярным врачебным контролем. Четвертый, финальный этап — это переход в фазу поддержки, где после достижения чистой кожи (ремиссии) врач дает рекомендации по уходу и образу жизни, чтобы максимально продлить этот период.

Стоимость первичной консультации и диагностики перед лечением псориаза

Первый и самый важный шаг к контролю над болезнью — это комплексная первичная консультация врача-дерматолога.

Стоимость консультации в МЦ "Дерматология" составляет 600 гривен. В эту сумму уже включены: детальный сбор анамнеза, физикальный осмотр, проведение цифровой дерматоскопии всех необходимых участков, постановка точного диагноза и разработка вашего предварительного плана лечения. Это необходимая инвестиция в ваше здоровье и в понимание того, как мы вместе достигнем стойкой ремиссии.

 

Услуга

Стоимость (₴)

Консультация врача дерматолога

700 ₴

 

 

Наши врачи

  • Сафанков Валерий Ивнович

    Сафанков Валерий Иванович кандидат медицинских наук, врач дерматолог-онколог

  • Абдуллаева Айгунь Муталлимовна
  • Лутицкая Лидия Игоревна
  • Загурский Юрий Борисович
  • Кравченко Марина Анатольевна
  • Брындиков Михаил Григорьевич

Отзывы клиентов

  • Екатерина Галицына


    Дуже гарне ставлення до пацієнта. Консультація на вищому рівні, все пояснено доступно. Процедури проведені професійно. Я задоволена.

  • Ирина Рыбалко


    Дуже сподобався лікар Бриндіков Михайло Григорович. Дуже раджу!

  • Ангелина Мельникова


    Добрий день! Не можу не сказати про чудового лікаря-дерматолога — Кравченко Марину Анатоліївну. Після нещодавньої поїздки за кордон шкіра просто стала жахливою: постійні висипання, купа закритих комедонів та підшкірних, дуже болючих прищів. Нічого не допомагало, старий догляд за обличчям не діяв. Щиро дякую Марині Анатоліївні, що врятувала мою шкіру. Була повністю змінена тактика догляду за обличчям. Введено потрібні активні речовини, які підтримували шкірний бар’єр та водночас насичували його. Звісно, не за 3 дні, але все минуло. Шкіра стала кращою, ніж коли-небудь була. Щиро дякую та рекомендую цього спеціаліста!

  • Юлия _


    Все як завжди на вищому рівні, уважні, консультують,якісно,швидко

  • Галина _


    Чудова клініка. Вже не вперше видаляю тут родимки. Все проходить швидко, без болю. Лікарі консультують, відповідають на всі питання - справжні професіонали. Я задоволена. Дякую

  • Елена Н


    Дуже сподобався лікар Сафанков Валерій Іванович. Швидко, безболісно і професійно вирішив проблеми зі шкірою.Чітко і зрозуміло все пояснив.Дякую

  • Зоя Алферова


    Дякую лікарю Сафанкову. Консультація вичерпна і детальна.

  • Ольга Хвостова


    Хочу подякувати лікарю Бриндікову Михайлу Григоровичу за проведену операцію по видаленню ліпоми.Все зроблено акуратно, безболісно, дуже професійно! Гарний, уважний лікар. Рекомендую!!!! І взагалі, працівники клініки уважні, чемні, приємне спілкуаання.

  • LiRiDi LiRiDi


    Гарна клініка. Дуже гарний доктор. Все швидко та якісно зробили в пояснили. Дякую!

  • Tetiana Litvin


    Доктор Лутицкая Л. И. внимательная,все прошло хорошо.

Запишитесь на прием к нашим врачам

Ваше имя
Номер телефона